Te ayudo a descubrir el potencial de tu sonrisa, combinando ortodoncia, estética y diseño para lograr la armonía que tu rostro y tu esencia merecen.
Reconocido por:
Personalidades del entretenimiento, los negocios y el liderazgo han confiado su sonrisa en mi y mi equipo por una razón: por las sonrisas que acentúan su belleza sin perder su naturalidad.
Artista/Cantante
Public figure
Actriz y conferencista
TV Host
Conferencista y autora
Creadora digital
Artista/Influencer
Especialista en ortodoncia y estética dental
+111k followers
Soy odontólogo especialista en ortodoncia y odontología estética. Fundé Visage Experts, clínica dental premium en San Pedro Garza García, Nuevo León, donde nos enfocamos en cuidar y detallar las sonrisas de nuestros pacientes a través de tratamientos que les garantizan la función, salud y belleza de su sonrisa; para entonces elevar su confianza en las diferentes etapas de tu vida.
Descubre el poder de tu sonrisa. En Visage Experts iniciamos con una evaluación profunda para un plan a tu medida. Con la magia del diseño digital, visualizas tu resultado final y, juntos, ajustamos cada detalle antes de hacer realidad la sonrisa que siempre quisiste.
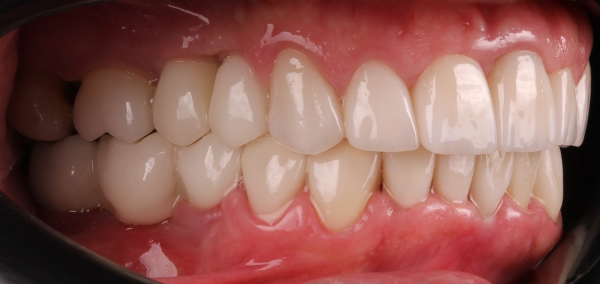
En Visage Experts, nuestras carillas de porcelana son creadas de forma única y personalizada para cada sonrisa. Esto no solo corrige imperfecciones, sino que eleva tu autoestima, dándote la confianza para sonreír e impactar positivamente tu vida personal y profesional.
Diseñamos sutiles y ultra conservadoras modificaciones a la sonrisa para extraer el máximo valor estético de tus dientes. Este tratamiento se enfoca en detalles mínimos pero estratégicos que marcan una gran diferencia en la armonía facial y dental.
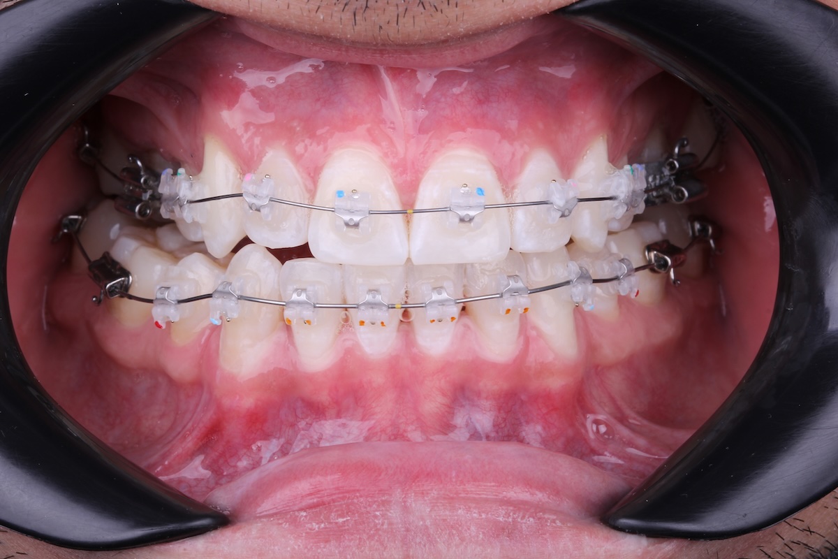
La ortodoncia invisible corrige la posición de tus dientes discretamente, usando alineadores transparentes y removibles. Somos aliados de la marca Invisalign que es la líder mundial de alineadores dentales.
Hacemos el diagnóstico correcto de tu sistema orofacial, para en base a los objetivos acordados, diseñar el tratamiento apropiado con el uso de herramientas como brackets cerámicos o metálicos, o cirugías especializadas que hacemos con nuestros aliados.
Aclara el color de tus dientes, eliminando manchas y devolviéndoles un tono más brillante. Es rápido, seguro y mejora tu sonrisa.
Restaura la función, salud y belleza de tu sonrisa. Corrige problemas complejos con tratamientos personalizados, devolviéndote una boca completa, funcional y armónica.
Reemplazan un diente perdido con una solución que se ve y funciona como uno natural. Se coloca un implante de titanio en el hueso, y sobre él, una corona de porcelana.
Es clave para una boca sana. Identifica problemas a tiempo y te enseña a evitarlos, manteniendo tu sonrisa fuerte y radiante a largo plazo.
Ayudamos a nuestros pacientes para que su experiencia en cirugías o tratamientos de larga duración sea como un abrir y cerrar e ojos. A través de procedimientos de sedación intravenosa o con óxido nitroso.
Agenda tu evaluación presencial o virtual. En 1 hora conoceremos tu caso para darte un diagnóstico y proyección del potencial de tu sonrisa.
Visualizamos digitalmente el potencial de tu sonrisa, para entonces planear las etapas de salud y belleza necesarias para lograrla.
Es una experiencia real, al ponerte los dientes de resina que diseñamos especialmente para que visualices como te sentirás con tu sonrisa antes de iniciar el proceso.
Realización del procedimiento planeado con un servicio premium, tecnología de punta y materiales top en el mundo.
Queremos que siempre brilles, por lo que te vamos a acompañar en la salud, cuidado y belleza de tu boca para que siempre luzcas como mereces.
Evaluación completa de tu sonrisa actual y objetivos estéticos, considerando tus necesidades de salud, rostro, contexto y expectativas.
Evaluación completa de tu sonrisa actual y objetivos estéticos, considerando tus necesidades de salud, rostro, contexto y expectativas.
Visualizamos digitalmente el potencial de tu sonrisa, para entonces planear las etapas de salud y belleza necesarias para lograrla.
Es una experiencia real, al ponerte los dientes de resina que diseñamos especialmente para que visualices como te sentirás con tu sonrisa antes de iniciar el proceso.
Realización del procedimiento planeado con un servicio premium, tecnología de punta y materiales top en el mundo.
Queremos que siempre brilles, por lo que te vamos a acompañar en la salud, cuidado y belleza de tu boca para que siempre luzcas como mereces.
Desde la primera consulta hasta tu nueva sonrisa. Un proceso diseñado para que te sientas acompañado, informado y seguro en cada etapa.
Cada tratamiento cuenta con garantía clínica y acompañamiento post-tratamiento.
Garantía de satisfacción.
Citas de seguimiento y monitoreo.
Planes de ajuste personalizados
Clínica con estándares internacionales
Más que estética, es la sonrisa que tu esencia y salud merecen. Descubre cómo nuestros pacientes transforman sus vidas con un proyecto de salud diseñado a su medida.
Llegué buscando carillas, pero gracias al análisis del Dr. Gerardo entendí que mi problema era más profundo. Pasé por ortodoncia, cirugía ortognática y carillas, y hoy no solo tengo una sonrisa armónica, también respiro mejor y mi rostro está en equilibrio. Fue un cambio total en mi calidad de vida.
@keniaos
Quería mejorar mi sonrisa con carillas, pero el Dr. Gerardo me propuso un camino más cuidadoso. Empezamos con ortodoncia para corregir mi mordida y después colocamos las carillas. El resultado fue justo lo que soñaba, sin desgastar mis dientes.
Quería mejorar mi sonrisa, pero el Dr. Gerardo me ayudó a ir más allá. Con carillas, injertos de encía, mentoplastia y lipotransferencia, transformamos no solo mi sonrisa, sino mi rostro, mi respiración y mi seguridad. Fue una inversión completa en mi bienestar.
Quería mejorar mi sonrisa, pero no imaginé el nivel de detalle que implicaría. Con injertos, ajustes en la encía y carillas personalizadas, el Dr. Gerardo logró una transformación completa: ahora mi sonrisa no solo se ve increíble, sino que armoniza perfecto con mi rostro.
Con el paso del tiempo fui perdiendo piezas y seguridad al sonreír. Gracias al Dr. Gerardo y su equipo, pasé por ortodoncia con alineadores, implantes y una rehabilitación completa. Hoy no solo tengo una sonrisa funcional y estética, volví a sentirme yo mismo al hablar y disfrutar de la vida.
Pensé que solo necesitaba alinear mis dientes, pero el Dr. Gerardo descubrió un problema mayor en mis maxilares. Después de ortodoncia, cirugía ortognática y detalles estéticos finales, no solo tengo una sonrisa natural y bonita, también respiro mejor y mi rostro se ve en equilibrio.
Fue una experiencia única, desde que llegué al consultorio el doctor y todo su equipo fue muy amable, me ayudó a tomar la mejor decisión para el cambio de mi sonrisa, me cambio por completo mi vida.
Quede encantada con mi nueva sonrisa tal cual como me lo imaginé.
Si buscan alguien con profesionalismo, y con un excelente trabajo, el Dr. Gerardo es el mejor
Quiero compartirles mi experiencia con visage, y es que todo el personal han sido super atentos conmigo desde el dia uno hasta ahorita, mi procedimiento fue super ligero, cabe aclarar que yo les comente que me daba mucho miedo el dolor y la sedación 10/10, lo repito todos super amables y no te dejan ir con alguna duda, te explican todo a la perfeccion, sin duda volveria a hacerme mis proximos procedimientos en visage! Muchas gracias al Dr. Gerardo, Dr. Aldo, Dr. Carlos, Dr. Daniel, a la anestesióloga y al resto del personal que me atendieron!
Aquí me hicieron mi ortodoncia con Invisalign y luego mis carillas de porcelana, yo vivo en USA y cada cita se súper aprovechaba, al final estuve lista para estrenar mi sonrisa el día de mi boda y fui la más feliz. El Dr. Gerardo y todo su equipo han sido siempre muy amables y profesionales, te explican super bién cada procedimiento.
Me siento en las mejores manos: calidad, confianza y la garantía de que están haciendo un buen trabajo. Llevo 7 años siendo un fiel cliente y tengo 7 años sin problemas dentales. Más bien, han sido correcciones de trabajos antiguos los que el Dr. Gerardo y su excelente equipo han arreglado en mis dientes 100% recomendados
Excelente atención y resultado. Quedé encantada con mi nueva sonrisa y con el trato de todo el personal, especialmente del Dr. Gerardo. Absolutamente recomendable. profesionalismo, y con un excelente trabajo, el Dr. Gerardo es el mejor
¿Sueñas con una sonrisa que refleje tu esencia?
Cada equipo ha sido seleccionado por su precisión, eficiencia y capacidad para lograr resultados naturales.
Esta tecnología usa IA para analizar tus rasgos faciales únicos, creando una sonrisa que no solo es bella, sino que expresa tu personalidad y aumenta tu confianza, impactando positivamente tu bienestar.
Máxima precisión en cada detalle del tratamiento gracias a la tecnología alemana líder en óptica dental.
Fresado de precisión para crear restauraciones personalizadas con acabados perfectos.
Certificación en software avanzado de diseño digital de sonrisa que permite visualizar resultados antes del tratamiento.
Documentación detallada para análisis, diseño y seguimiento de tu caso.
Escáner intraoral de alta definición que elimina la necesidad de moldes tradicionales.
Fabricación de restauraciones en tiempo récord con precisión micrométrica.








¿Y tú qué esperas?
Descubre cómo el Dr. Gerardo G. Galván diseña sonrisas que inspiran confianza y felicidad. Tu transformación comienza aquí.
Encuentra respuestas precisas a las inquietudes más comunes sobre ortodoncia, estética y cuidado bucal.
Eso depende del estado actual de tus dientes, de tu salud, de tu mordida y de los puntos que desees alcanzar. Por eso hacemos un diagnóstico antes de cualquier tratamiento
El proceso para diseño, preparación, elaboración, ajuste y colocación de carillas de porcelana, en VISAGE consta de un periodo de 15 días. En casos especiales, como pacientes foráneos, puede ser simplificado a 4 días.
Si sabes a dónde quieres llegar, el llegar ahí es fácil. Cuando una persona no está en condiciones de recibir carillas de porcelana, hacemos una estrategia para preparar el caso y poderlo llevar al punto de poder colocar carillas de porcelana, o bien, lograr la sonrisa de acuerdo a los objetivos deseados con los diferentes instrumentos que ofrece la odontología.
No en absoluto. Es un procedimiento que, cuando es necesario, se realiza bajo anestesia local y una vez colocadas, se sienten como tus dientes naturales.
En VISAGE contamos con la tecnología (instrumentos en 3D y microscopio) y la experiencia para que tu diente no sufra un desgaste innecesario. Hoy en día, las carillas permiten excelentes resultados con espesores de hasta 0.3 mm, lo que nos permite mantener el diente natural en más del 95% de su volumen original.
Por supuesto que sí. Parte de nuestro proceso consiste en no dar ningún paso en falso. Desde la primera cita, te podemos mostrar renderizaciones para demostrarte un resultado preliminar e ir unificando criterios de estética juntos para construir una sonrisa especial y única para ti.
Lo más importante es la conversación inicial para conocer los motivos y las expectativas que hay detrás de tu visita. Durante tu primera cita, también haremos un análisis clínico y microscópico, captando datos relevantes para el análisis y diagnóstico de tu caso con herramientas como:fotografías faciales, fotografías dentales, escaneos 3D en alta precisión y estudios radiográficos y topográficos según amerite cada caso en particular.
Si ya tienes carillas, tenemos que profundizar acerca de tus objetivos: ¿Qué es lo que quisieras cambiar de ellas? ¿Es volumen, es acabado, color o forma? O quizás solamente no se sienten como parte de ti. Una vez aclarando estos objetivos, podemos elaborar una estrategia para un posible cambio de carillas para lograr la sonrisa, objetivos afines a los deseados.
No todos los casos necesitan ortodoncia antes de realizar diseño de sonrisa con carillas de porcelana, cuando la mordida debe ser mejorada o cuando los dientes están en riesgo de sufrir un desgaste innecesario, son ejemplos de casos en los que un tratamiento de ortodoncia es una buena idea como un primer paso. Objetivos afines a los deseados.
Podría argumentar las decenas de atributos científicos, tecnológicos y de calidad que sustentan nuestros resultados; sin embargo, creo que lo más valioso que aportamos a nuestros pacientes es la pasión, la calidez y el compromiso de todo. nuestro equipo por darle lo mejor a todos y cada una de las personas que nos permiten el honor y la confianza del cuidado de su sonrisa.
Si no encontraste la respuesta que buscabas, no dudes en contactarnos. Estamos aquí para ayudarte.
Nuestro equipo está listo para escucharte, orientarte y ayudarte a lograr la sonrisa que mereces.
Descubre Visage Experts en el prestigioso San Pedro Garza García, Nuevo León, a corta distancia de la frontera. Esta ubicación privilegiada atrae a pacientes de ambos lados.
Bajo el liderazgo del Dr. Gerardo, la clínica es un referente en diseño de sonrisas, fusionando experiencia profesional y tecnología de punta.
Déjanos tus datos y nos pondremos en contacto contigo para ayudarte y agendar tu cita
Horario:
Lunes, miércoles. y sábado:
9:00 – 19:00
Martes, jueves y viernes:
8:00 – 17:00
Río Mississippi 338, San Pedro Garza García, N.L., México
+52 81 1004 9792
hola@drgerardogarcia.com
© DERECHOS RESERVADOS DR. GERARDO GARCÍA GALVÁN
Aviso de publicidad: 2519032002A00287,
Dr. Gerardo García Galván, cédula profesional: 6367089, Universidad Autónoma de Nuevo León
cédula de Especilaista 09154099
@musamistral
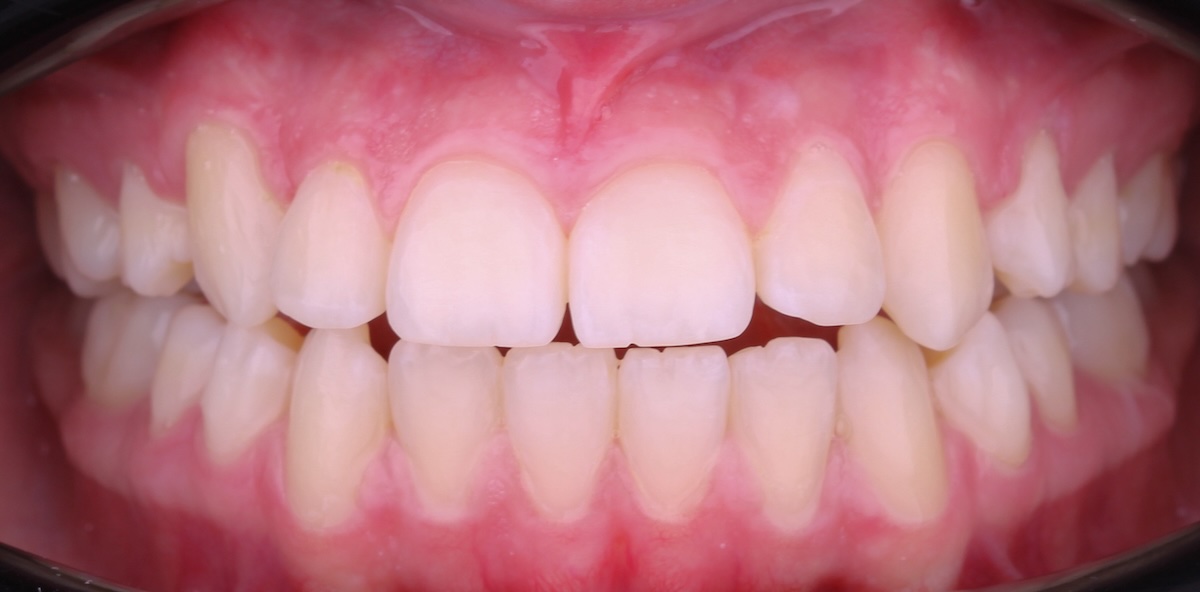
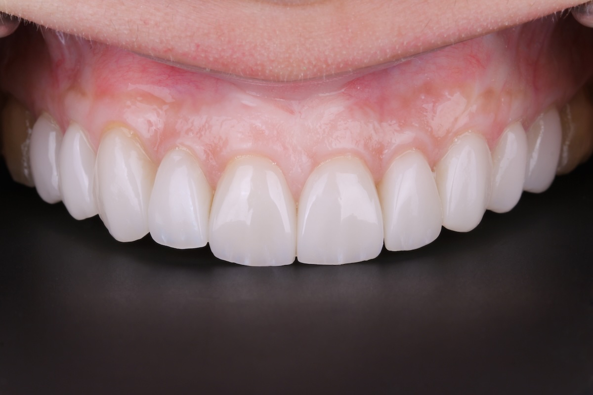
Ejemplo de servicio integral de “Carillas de Porcelana” para hacer que su sonrisa reflejara su autenticidad.
Para ella, una sonrisa no es solo estética, ¡es una herramienta fundamental! Ahí es donde entran las carillas de porcelana. Este tratamiento no solo mejoró su apariencia dental, sino que elevó su presencia en pantalla y en redes sociales a un nuevo nivel.
¿Cómo lo logramos? Fue un proceso de diseño meticuloso y alta tecnología. Primero, realizamos un análisis digital de su sonrisa (seguramente usando herramientas como Digital Smile Design o SmileCloud Biometrics), tomando en cuenta sus rasgos faciales, su personalidad y hasta la forma en que gesticula al hablar en cámara.
Luego, creamos un modelo virtual de su futura sonrisa. Ella pudo verla, ajustarla y aprobarla antes de cualquier paso, sintiéndose completamente involucrada.